Crowns

Most dentistry looks like dentistry.  Our goal is to provide dentistry that is undetectable.  We replace existing crowns and fillings with restorations that look and feel like your natural
teeth.  

Where damage to a person’s teeth is extreme, and apparently beyond repair, we can use porcelain or porcelain fused to metal crowns to make the smile appear “as new”.  This is an
extremely reliable technique for repairing the most severe of dental problems, even permanently replacing missing teeth to offer a complete smile and a functional bite.  We are
recognized for the quality of our work and the great changes we make for people using this technology.  These treatments are used for a long lasting correction of major dental
problems.
Bridges

All your teeth play an important role in speaking, chewing and in maintaining proper alignment of other teeth.  Tooth loss doesn't necessarily have to occur as you age, but if you do
lose teeth, they may be replaced to maintain proper function of your mouth.  Fortunately, there are options for correcting tooth loss.

A Bridge – a devise used to replace missing teeth—attaches artificial teeth to adjacent teeth, called abutment teeth. Fixed bridges are a great way to restore your dental health and
appearance.

The attachment procedure usually takes two appointments to complete.  At the first appointment Dr. Hebert will prepare the teeth on either side of the missing tooth/ teeth.

Since the bridge must be fabricated very precisely to ensure a correct bite and to match the opposing tooth, impressions of the teeth are taken and sent to a lab where the bridge will
be constructed.

Fixed bridges are typically cemented to the natural tooth / teeth next to the space left by the missing tooth / teeth.  A pontic (false tooth) replaces the lost tooth / teeth.  Crowns, which are
cemented onto the natural teeth, provide the support for the bridge.

A strict regimen of brushing and flossing will keep the bridge and surrounding teeth clean.  This is very important as the bridge relies on the neighboring teeth for support.  


NTI- Nightguards

Painful, aching jaw, sore, sensitive teeth, stiff neck, morning headaches?  If you suffer from these problems, you should know about NTI-tss (Nociceptive Trigeminal Inhibition Tension
Suppression System).  

In our office we can create a custom-made NTI-tss devise.  The tiny, clear plastic devise fits over your top two front teeth.  You only wear the NTI-tss devise while you sleep at night.  It
makes clenching virtually impossible.  In a few days or weeks, your clenching reflex is suppressed.  In most cases morning headache pain, neck pain, sore jaw and other related pain
associated with involuntary intense clenching usually begins to resolve and disappear.  
Porcelain Veneers

Your smile is your greatest accessory.

Porcelain veneers are thin shells of ceramic that bond directly to the front surfaces of the teeth.  They are an
ideal choice for improving your smile and have become increasingly popular due to their simplicity and
versatility.

Placing custom veneers requires a high degree of technical skill as well as attention to cosmetic detail.  We
place veneers routinely, and design each case individually to match and enhance the characteristics of each
patient’s smile.

When bonded to the teeth, the ultra- thin porcelain veneers are virtually undetectable and highly resistant to
coffee, tea and even cigarette stains.  For strength and appearance, their resemblance to healthy, white tooth
enamel is unsurpassed by other restorative options.
Glen F. Hebert, D.D.S.
1316 Coffee Rd. Suite A-1
Modesto, CA 95355
209.527.5455
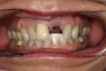
Dental Implants

Dental implants are designed to provide a foundation for replacement teeth that look, feel and function like
natural teeth.  The person who has lost teeth regains the ability to smile with confidence, knowing that teeth
appear natural and  facial contours will be preserved.  

The implants are tiny titanium posts, which are placed into the jawbone where teeth are missing.  The bone
bonds with the titanium, creating a strong foundation for artificial teeth.  In addition, implants can help preserve
facial structure, and prevent  bone deterioration, which occurs when teeth are missing.
Dental implants are changing the way people live!  With them, people are discovering the comfort and
confidence to eat, speak, laugh and enjoy life.

For most patients, the placement of dental implants involve a single surgical procedure.  Implants are placed
in your jawbone and for the first three to six months following surgery, the implants, gradually bonds with the
bone.  
After the implant has bonded to the jawbone, we begin making your new teeth.  An impression must be taken, and then Titanium posts or attachments can be connected to the
implants.  The replacement teeth are then made over the posts or attachments.  The entire procedure usually takes six to eight months.  Most patients do not experience any disruption
in their daily life.  
If like many others you feel implant dentistry is the choice for you, we ask that you undergo a dental / radiographic examination and a health history.  During these consultation visits,
your specific needs and considerations will be addressed either by Dr. Hebert or by an Oral Maxillofacial Surgeon referred by our practice.  Your questions and concerns are important
to us and our team will work with you very closely to help make your procedure a success.
After: Implants and  Porcelain Veneers
Before