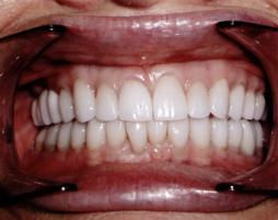
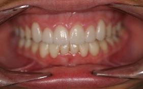
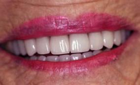
All photographs in this web site are images of our patients
To see before and after, hold mouse over images